Loader img
519 621 3770 | info@cedardentalcentre.com

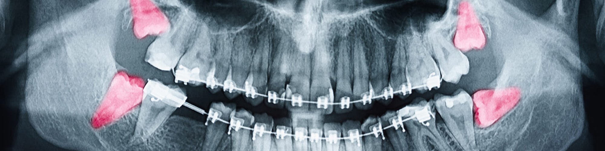
Wisdom Teeth Extraction

The third and last pair of molars to erupt in the upper and lower corners of a typical adult's mouth are wisdom teeth. Another name for them is the last and third set of teeth. We hate to notify you that many individuals have issues with their wisdom teeth. This is often caused by the teeth growing too near to the existing permanent teeth, which leads to crowding, incorrect biting, and other problems.

If you do not extract your wisdom teeth and they continue to give you agony, they may become impacted. Your dental health may deteriorate and you may experience excruciating pain from impacted wisdom teeth. The symptoms and indicators are easy to identify: pain, inflammation, and a broad range of diseases.

About care teeth
About care teeth
Procedure for Extracting Wisdom Teeth
Your wisdom teeth may be easily extracted by your dentist, or they may need a standard surgical procedure performed by an oral surgeon. Following the examination, the dentist will provide you with further details about the kind of extraction you will need. You may have all four teeth pulled simultaneously, or you can have them extracted gradually over a number of sessions.

Analysis
Before we even think about scheduling your extraction, we want to undertake a comprehensive evaluation of your jaw and teeth. To ascertain how your wisdom teeth are erupting and how your root structure looks, X-rays of your teeth will be obtained and carefully examined. This information will help us determine if you will need surgery, whether your wisdom teeth can be pulled with ease, or if they must be removed. We don't want any surprises at all!

Removal
Our team will provide you further details on what to expect and how to prepare at the time of your first assessment. When determining whether to use local freezing, sedation, or anesthesia, your preferences and your doctor's professional judgment will be taken into account. We use less invasive techniques to extract teeth in the most painless way possible. It is our wish that you will feel at peace and recuperate quickly.

Aftercare
We could ask a friend or relative to drive you to the practice, pick you up when you get home, and stay with you while you heal from your injuries. Aftercare instructions will be given to you, along with practical tips on what to do and what not to do to ensure the quickest and least painful recovery. If you have any more questions or concerns, we invite you to give Cedar Dental Centre in Cambridge a call.

Most people decide to have their wisdom teeth extracted in order to prevent any problems or significant problems in the road. Having four wisdom teeth is usually seen as unnecessary since it has no bearing on your ability to effectively bite down, speak, or consume food.

Our Clinic Hours

  • Monday

    01:00 PM - 08:00 PM
  • Tuesday

    09:00 AM - 05:00 PM
  • Wednesday

    09:00 AM - 05:00 PM
  • Thursday

    12:00 PM - 08:00 PM
  • Friday

    Closed
  • Saturday

    Closed
  • Sunday

    Closed