Loader img
519 621 3770 | info@cedardentalcentre.com

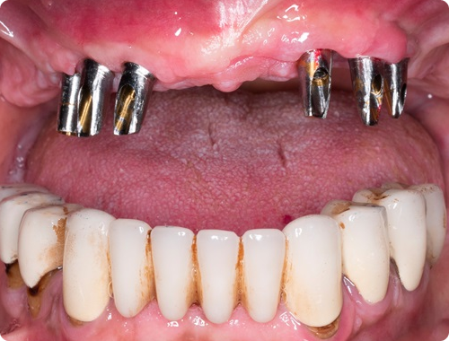
Full Mouth Reconstruction

It's possible that losing teeth might lead to additional tooth loss, shifting, decay, and an uncomfortable bite.

Broken, decaying, or missing teeth are replaced with new ones during a total mouth restoration procedure. Restoring your smile and maintaining excellent oral function are the goals of this procedure, which also aims to make you feel whole and at ease afterward.

X-rays, diagnostic wax-ups, and the development of a specific action plan that is appropriate for the patients and their needs may all be used to achieve these goals. Dental crowns, white fillings, dentures, or dental implants may be part of this strategy. We provide our customers comprehensive solutions.

About care teeth
About care teeth

Our Clinic Hours

  • Monday

    01:00 PM - 08:00 PM
  • Tuesday

    09:00 AM - 05:00 PM
  • Wednesday

    09:00 AM - 05:00 PM
  • Thursday

    12:00 PM - 08:00 PM
  • Friday

    Closed
  • Saturday

    Closed
  • Sunday

    Closed